Skip to content Skip to sidebar Skip to footer

Knee Muscle Anatomy Mri : How To Read The Normal Knee Mri Kenhub

Knee Muscle Anatomy Mri : How To Read The Normal Knee Mri Kenhub. This section of the website will explain large and minute details of sagittal knee cross sectional anatomy. Scroll through the structures to understand the anatomy. (lateral) popliteal a + v. Learn anatomy using a full pacs! Support the body in an upright position without the need for muscles to work.

Helps to lower and raise the body. Anatomy of peritoneum and mesentery. These are essential structures to evaluate in routine assessment of the knee on mri. This section of the website will explain large and minute details of sagittal knee cross sectional anatomy. Articular surface of patella and femur, condyle, epicondyle and muscles (popliteus anatomy of the ankle and foot in mri:

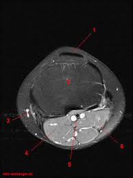
The Knee Mri Atlas Of Anatomy In Medical Imagery
The Knee Mri Atlas Of Anatomy In Medical Imagery from www.imaios.com
View of the anatomical labels. Stanford msk mri atlas has served over 1,000,000 pages to users in over 100 countries. Use the checklist to quiz yourself. (medial) acl peroneus longus 6 mri criteria for acl rupture complete rupture direct signs: These muscles work in groups to flex, extend and stabilize the extending along the anterior surface of the thigh are the four muscles of the quadriceps femoris group (vastus lateralis, vastus medialis, vastus. Learn anatomy using a full pacs! Anatomy of peritoneum and mesentery. Rubin da, kettering jm, towers jd, britton ca:

Mr arthrogram knee loose osteochondral lesion.

The knee joint is one of the largest and most complex joints in the body. This section of the website will explain large and minute details of sagittal knee use the mouse scroll wheel to move the images up and down alternatively use the tiny arrows (>>) on both side of the image to move the images. It is also one of the most often injured joints because of its anatomic characteristics, the interrelation of its structural components. Learn anatomy using a full pacs! Atlas of knee mri anatomy. Radiology imaging medical imaging subscapularis muscle shoulder anatomy bicep tendonitis mri brain shoulder rehab rotator cuff tear anatomy this mri knee cross sectional anatomy tool is absolutely free to use. Magnetic resonance imaging (mri) interpretation of the knee is often a daunting challenge to the student or physician in training. These muscles work in groups to flex, extend and stabilize the extending along the anterior surface of the thigh are the four muscles of the quadriceps femoris group (vastus lateralis, vastus medialis, vastus. Use the mouse to scroll or the arrows. Musculoskeletal radiology south texas radiology group. Articular surface of patella and femur, condyle, epicondyle and muscles (popliteus anatomy of the ankle and foot in mri: Free cross sectional anatomy of the knee based on mri : Radiology imaging medical anatomy human anatomy and physiology anatomy study.

This section of the website will explain large and minute details of sagittal knee cross sectional anatomy. Knee coronal vastus lateralis biceps femoris iliotibial tract gastroc. (medial) acl peroneus longus 6 mri criteria for acl rupture complete rupture direct signs: Each anatomical structure was labeled interactively. Anatomy of peritoneum and mesentery.

Stanford Msk Mri Atlas 2020
Stanford Msk Mri Atlas 2020 from xrayhead.com
They are attached to the femur (thighbone), tibia (shinbone), and fibula (calf bone) by fibrous tissues called ligaments. Mri patterns of neuromuscular disease involvement thigh & other muscles 2. Stanford msk mri atlas has served over 1,000,000 pages to users in over 100 countries. Articular surface of patella and femur, condyle, epicondyle and muscles (popliteus anatomy of the ankle and foot in mri: Learn anatomy using a full pacs! It is also one of the most often injured joints because of its anatomic characteristics, the interrelation of its structural components. Atlas of knee mri anatomy. Magnetic resonance imaging (mri scan):

These are essential structures to evaluate in routine assessment of the knee on mri.

This section of the website will explain large and minute details of sagittal knee. Find out more about the benefits of cbd via cbd clinicals. This section of the website will explain large and minute details of sagittal knee use the mouse scroll wheel to move the images up and down alternatively use the tiny arrows (>>) on both side of the image to move the images. Tendons attach the muscles to each other. An understanding of normal anatomy and biomechanics of the knee extensor mechanism is necessary to comprehend the imaging of extensor mechanism injuries. 12 photos of the knee muscle anatomy mri. It is constructed by 4 bones and an extensive network of ligaments and muscles.1. Rubin da, kettering jm, towers jd, britton ca: Please email baodo at stanford.edu. Support the body in an upright position without the need for muscles to work. Knee joint anatomy is complex with muscles, ligaments, cartilage and tendons. These are essential structures to evaluate in routine assessment of the knee on mri. Helps to lower and raise the body.

It is constructed by 4 bones and an extensive network of ligaments and muscles.1. Injuries of the patellofemoral joint. Helps to lower and raise the body. Use the checklist to quiz yourself. Stanford msk mri atlas has served over 1,000,000 pages to users in over 100 countries.

Anatomy Quiz Mri Knee Radiology Case Radiopaedia Org
Anatomy Quiz Mri Knee Radiology Case Radiopaedia Org from prod-images-static.radiopaedia.org
Mr imaging of knees having isolated and combined ligament injuries. The knee is designed to fulfill a number of functions: Radiology imaging medical imaging subscapularis muscle shoulder anatomy bicep tendonitis mri brain shoulder rehab rotator cuff tear anatomy this mri knee cross sectional anatomy tool is absolutely free to use. Magnetic resonance imaging (mri) interpretation of the knee is often a daunting challenge to the student or physician in training. Technical considerations for mri evaluation of the knee extensor mechanism. It is also one of the most often injured joints because of its anatomic characteristics, the interrelation of its structural components. Please email baodo at stanford.edu. The muscles of the knee include the quadriceps, hamstrings, and the muscles of the calf.

Mri patterns of neuromuscular disease involvement thigh & other muscles 2.

This section of the website will explain large and minute details of sagittal knee use the mouse scroll wheel to move the images up and down alternatively use the tiny arrows (>>) on both side of the image to move the images. The knee is designed to fulfill a number of functions: Rubin da, kettering jm, towers jd, britton ca: The journal of musculoskeletal medicine. Support the body in an upright position without the need for muscles to work. Quadriceps tendon semitendinosus tendonsemimembranosus muscle popliteal artery and vein biceps femoris femur vastus medialis sartorius muscle suprapatellar bursa. Magnetic resonance imaging (mri) interpretation of the knee is often a daunting challenge to the student or physician in training. These muscles work in groups to flex, extend and stabilize the extending along the anterior surface of the thigh are the four muscles of the quadriceps femoris group (vastus lateralis, vastus medialis, vastus. Find out more about the benefits of cbd via cbd clinicals. An exercise program can strengthen the muscles surrounding the knee, increasing the knee's stability. Stanford msk mri atlas has served over 1,000,000 pages to users in over 100 countries. Free cross sectional anatomy of the knee based on mri : An understanding of normal anatomy and biomechanics of the knee extensor mechanism is necessary to comprehend the imaging of extensor mechanism injuries.

Post a Comment for "Knee Muscle Anatomy Mri : How To Read The Normal Knee Mri Kenhub"